Магніти у кишківнику, цвях і хрестик у легенях: волинські медики врятували дітей, які проковтнули предмети
Нещодавно в хірургічному відділенні Волинського обласного медоб’єднання захисту материнства і дитинства на лікуванні перебувала 9-річна дівчинка, яка проковтнула 4 магніти. На жаль, наслідком став перитоніт.
Дитину до медзакладу доправила бригада екстреної медичної допомоги з діагнозом «гострий апендицит», повідомили у лікарні.
«Водночас, – розповідає хірург дитячий Василь Демчук, – клінічна картина не була типовою для апендициту. Після додаткових обстежень, зокрема рентгенографії, з’ясувалося, що у кишківнику дитини сторонні тіла».
Під час операції лікарі виявили магніти, два з яких склеїлись між собою у різних відділах кишківника. В місці з’єднання утворився пролежень, а згодом – перфорація, внаслідок чого кишковий вміст витік у черевну порожнину.
«Непросто було видалити й магніти. Їх довелося «завести» в апендикс і видалити разом із ним. Дівчинку виписали додому на 10-й день після оперативного втручання», – каже Василь Демчук. Хірург наголошує: найбільшу небезпеку становить проковтування декількох магнітів, адже вони зчеплюються між собою, що й призводить до важких ускладнень.
Читати ще: Німецькі лікарі не давали шансів на життя: маленька волинянка поборола рідкісну хворобу
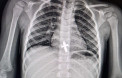
Як розповідає лікар-ендоскопіст та хірург дитячий Олександр Сльозко, проковтування монет дітьми – поширене явище. Такі випадки трапляються регулярно, подекуди й до 10 на тиждень. У квітні лікарям також довелося ендоскопічно діставати з бронхів підлітків цвях та канцелярську кнопку, а зі стравоходу дворічної дитини – натільний хрестик.
Підписуйтесь на наш Telegram-канал, аби першими дізнаватись найактуальніші новини Волині, України та світу
Дитину до медзакладу доправила бригада екстреної медичної допомоги з діагнозом «гострий апендицит», повідомили у лікарні.
«Водночас, – розповідає хірург дитячий Василь Демчук, – клінічна картина не була типовою для апендициту. Після додаткових обстежень, зокрема рентгенографії, з’ясувалося, що у кишківнику дитини сторонні тіла».
Під час операції лікарі виявили магніти, два з яких склеїлись між собою у різних відділах кишківника. В місці з’єднання утворився пролежень, а згодом – перфорація, внаслідок чого кишковий вміст витік у черевну порожнину.
«Непросто було видалити й магніти. Їх довелося «завести» в апендикс і видалити разом із ним. Дівчинку виписали додому на 10-й день після оперативного втручання», – каже Василь Демчук. Хірург наголошує: найбільшу небезпеку становить проковтування декількох магнітів, адже вони зчеплюються між собою, що й призводить до важких ускладнень.
Читати ще: Німецькі лікарі не давали шансів на життя: маленька волинянка поборола рідкісну хворобу
Як розповідає лікар-ендоскопіст та хірург дитячий Олександр Сльозко, проковтування монет дітьми – поширене явище. Такі випадки трапляються регулярно, подекуди й до 10 на тиждень. У квітні лікарям також довелося ендоскопічно діставати з бронхів підлітків цвях та канцелярську кнопку, а зі стравоходу дворічної дитини – натільний хрестик.
Знайшли помилку? Виділіть текст і натисніть
Підписуйтесь на наш Telegram-канал, аби першими дізнаватись найактуальніші новини Волині, України та світу
Коментарів: 0
Підприємець, експосадовець та депутат вигадали схему, як за участю військових привласнити землю біля Луцька
Сьогодні 18:07
Сьогодні 18:07
На Волині зловмисники побили чоловіка, а тоді з ножем напали на медиків швидкої, які приїхали на виклик
Сьогодні 17:17
Сьогодні 17:17
«Збройні сили України – наш пріоритет». У Луцькій громаді затвердили бюджет на 2026 рік
Сьогодні 17:00
Сьогодні 17:00
Майже два роки вважали зниклим безвісти: ДНК-експертиза підтвердила загибель Героя з Шацької громади Олександра Сахарука
Сьогодні 16:10
Сьогодні 16:10
Триває експертиза під’їзду, що залишився: Луцькрада передбачила кошти мешканцям зруйнованої багатоповерхівки
Сьогодні 15:54
Сьогодні 15:54





Додати коментар:
УВАГА! Користувач www.volynnews.com має розуміти, що коментування на сайті створені аж ніяк не для політичного піару чи антипіару, зведення особистих рахунків, комерційної реклами, образ, безпідставних звинувачень та інших некоректних і негідних речей. Утім коментарі – це не редакційні матеріали, не мають попередньої модерації, суб’єктивні повідомлення і можуть містити недостовірну інформацію.